Borrar
El efecto ducha: por qué las mejores ideas surgen bajo el agua (caliente)

Alcanza tu ‘momento eureka’

El efecto ducha: por qué las mejores ideas surgen bajo el agua (caliente)

¿Alguna vez te estabas duchando y, de repente, has encontrado la solución al problema que te ha estado atormentando durante días? No eres el único. Y no es ‘por arte de magia’. La ciencia ya sabe por qué en la ducha tu mente produce sus mejores ideas. Te lo contamos.

Lunes, 27 de Febrero 2023

Tiempo de lectura: 5 min

Eureka! ¡Eureka!», exclamaba eufórico Arquímedes mientras corría por la calle desnudo hace dos milenios. Acababa de salir de la bañera con premura, porque el célebre físico había descubierto cómo calcular el volumen de la corona de oro del rey Hierón II de Siracusa y demostrar así que no había sido timado por el herrero. Desde entonces, el momento Eureka ha ido ligado a los descubrimientos e inventos más importantes de la historia de la ciencia. Y no es casualidad que su origen se diese mientras se bañaba.

La ducha provoca un estado de restricción sensorial. El agua caliente embota los sentidos externos y dirige nuestra atención hacia pensamientos internos. Incentiva la creatividad

La ciencia se ha encargado de explicar lo que le ocurrió a Arquímedes y que más de una vez seguro que te ha ocurrido a ti también. La investigación de los psicólogos estadounidenses John Kounios y Mark Beeman, los 'momentos Aha!', más conocidos como 'eureka', demuestran que el cerebro clasifica mejor los conceptos y realiza excelentes asociaciones cuando no se encuentra analizando algo conscientemente, sino con el piloto automático encendido a través de tareas tan mecánicas como ducharse, caminar o fregar los platos. Según Kounios, «el compromiso mental sin objetivos es una actividad que permite una asociación libre no lineal e integradora de ideas que deriva en avances creativos».

alternative text
El momento eureka. El mito de Arquímedes resolviendo en la bañera un problema que podía costarle la vida ha servido para ilustrar durante siglos una idea brillante al grito de 'Eureka' (que en griego significa 'encontré'). También para argumentar que en cuando nos bañamos relajadamente nuestra mente puede alcanzar cotas de genialidad.

También habla de ello Jonathan Schooler, profesor de psicología en la Universidad de California, en su estudio en el que 98 escritores y 87 físicos realizaron un registro diario de sus mejores ideas junto a la tarea que estaban haciendo y lo que estaban pensando cuando aparecieron. Como resultado, el 20 por ciento de las ideas más ingeniosas tuvieron su origen en tareas repetitivas.

A este proceso, los psicólogos lo han nombrado como ‘el efecto ducha’. Algo tan sencillo y monótono como centrarte en qué champú vas a aplicarte o a qué temperatura vas a disfrutar de tu ducha puede ser el punto de inflexión para alcanzar un mayor grado de fluidez mental. Y sí, justamente es esa sencillez y rutina la que te consigue mejores conexiones mentales que en otros escenarios como el trabajo o la universidad no es posible lograr de la misma manera.

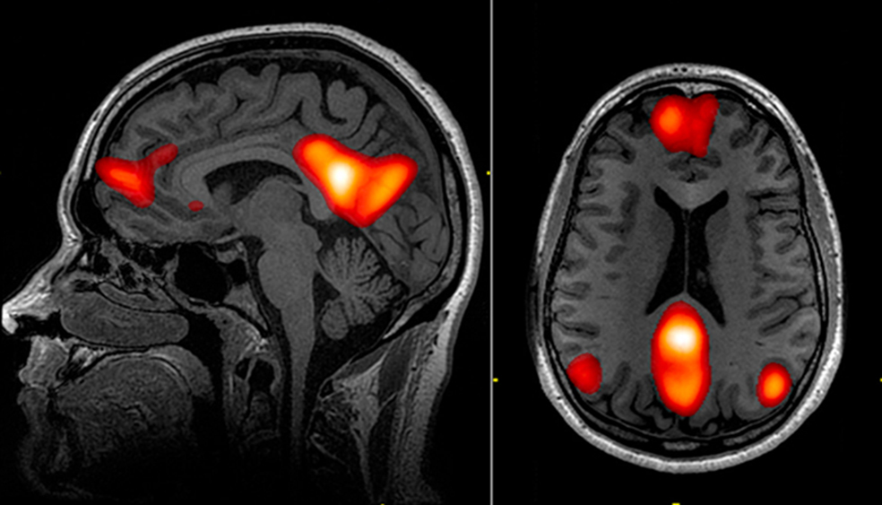
alternative text
Así se ve la mente que vagabundea. La red neuronal por defecto es el conjunto de regiones del cerebro que se activan cuando el cerebro está en reposo o divaga. Antes de la tecnología RMf, que permite detectar este tipo de actividad, se creía que la actividad del cerebro disminuía radicalmente cuando se producía ese proceso. Ahora se sabe que se trata tanto de un 'ahorro energético' como de una conexión neuronal distinta.

Pero, ¿qué es lo que le sucede a nuestro cerebro mientras está en la ducha? Todo se resume en un chute de neurotransmisores cargados de motivación, concentración y satisfacción. En concreto, comienzas a segregar una buena dosis de endorfinas, serotonina y dopaminas que reducen los niveles de estrés y ansiedad consiguiendo una mayor relajación y capacidad cerebral.

Aunque va más allá. El poder de una buena ducha puede provocar que entres en un estado de restricción sensorial. Según explica Kounios en su libro 'The Eureka Factor', «el agua caliente de la ducha embota nuestros sentidos externos y dirige nuestra atención hacia pensamientos internos. Y este estado de conciencia promueve el pensamiento creativo. En este punto, nuestro córtex visual se focaliza sobre los propios pensamientos. Aunque no es  algo exclusivo de la ducha, también se produce con otras actividades de ‘vagabundeo mental’ como las tareas domésticas, dormir o pintar».

Cuando el cerebro vagabundea y se relaja, no se 'apaga' sino que se mueve en otra 'longitud de onda'. Se activa la red neuronal por defecto

De esto saben mucho algunas de las mentes más brillantes. El químico encargado de descubrir la molécula del benceno, August Kekulé, tuvo la idea a través de un sueño. Y no es el único. También el matemático Henry Poincaré tuvo su gran descubrimiento sobre las funciones fuchsianas mientras se subía al autobús y el guionista de películas como ‘La red social’ o 'El ala oeste de la Casa Blanca', Aaron Sorkin, asegura que es capaz de ducharse hasta siete veces al día como metodología de escritura.

Todas estas historias tienen en común el abecedario de la creatividad o, como comúnmente denominan los expertos, las tres B que hacen referencia a 'bath', 'bed' y 'bus' (baño, cama y autobús). Los contextos donde nuestra mente puede comenzar a divagar y propiciar esa incubación de ideas con final feliz.

alternative text
Aaron Sorkin y Woody Allen, adictos a la ducha. El guionista Aaron Sorkin, autor de conocidas series como El Ala Oeste de la Casa Blanca, ha confesado ducharse incluso varias veces al día para estimular su proceso creativo. Woody Allen también contó que las duchas con agua caliente le ayudaban a desbloquearse cuando no podía avanzar con sus guiones.

¿Y cómo surge esa incubación? ¿Aparece sin más? No, no es resultado de un truco de magia, más bien se trata de un proceso progresivo. Nuestro cerebro se siente atraído hacia los problemas a los que no le has encontrado solución. Así que cuando dejas de pensar en ellos, sigue trabajando en ellos en el plano del inconsciente. «La gente siempre se sorprende cuando se da cuenta de que tiene ideas interesantes y novedosas en momentos inesperados, porque nuestra narrativa cultural nos dice que debemos hacerlo a través del trabajo duro», explica la neurocientífica cognitiva de la Universidad de Columbia, Kalina Christoff. Pero la realidad que revelan recientes estudios sobre nuestro cerebro es otra.

La responsable de este 'efecto ducha', en términos fisiológicos, es la red neuronal por defecto, una función de nuestro cerebro que se activa cuando entramos en modo 'desconexión'. Las resonancias magnéticas funcionales han permitido en los últimos años visualizar cómo la actividad de esta red se desarrolla en los lóbulos temporal, parietal y prefrontal.  Cuando desconectamos o dejamos vagar nuestra mente, esa red se activa como una onda que fluctúa cada ciertos milisegundos. El cerebro relajado, por ponerlo en palabras sencillas, no se 'apaga' sino que se mueve en otra 'longitud de onda'.

Y para activar ese vagabundeo mental, los lugares de trabajo no son el mejor escenario. El ruido de las conversaciones, las alertas del correo electrónico o el teclado de un compañero dificultan muchas veces encontrar la ansiada inspiración. Según el libro ‘Best place to work’ del psicólogo Ron Friedman, «muchos de los ambientes laborales en vez de motivar y potenciar la creatividad, agotan a tu mente». También el estrés y la ansiedad laboral, la monotonía o el ambiente tóxico pueden hacer que te cueste encontrar esa idea brillante que tanto se te resiste y que, sin embargo, brota sin dificultad mientras pones una lavadora.

Así que, ve, dúchate y dejar fluir sus pequeñas (o grandes) consecuencias. «No soy un genio, hay ideas que se me ocurren en la ducha», decía Adrian Newey, uno de los mejores ingenieros de la historia de la Fórmula 1. Estaba equivocado: ser consciente de los efectos de una buena ducha y saber aprovecharlos es una genialidad.

MÁS DE XLSEMANAL