Borrar

SALUD Esclerosis múltiple, la enfermedad de las mil caras

alternative text

No hay dos pacientes iguales, pero se registran cada vez más casos: un veintidós por ciento más en los últimos siete años. ¿Qué se sabe de esta enfermedad sin cura? Hablamos con el mayor experto en este trastorno autoinmune y con quienes, por experiencia, saben todo lo que implica...

Domingo, 06 de Marzo 2022

Tiempo de lectura: 8 min

Leire Avellanal tiene 33 años, pero cuando la diagnosticaron acababa de cumplir los 19. «Fue devastador. Estaba estudiando Medicina y lo único que se me pasaba por la cabeza era la imagen de la silla de ruedas. Pero, afortunadamente, eso no ha ocurrido. Tengo épocas de

Leire Avellanal tiene 33 años, pero cuando la diagnosticaron acababa de cumplir los 19. «Fue devastador. Estaba estudiando Medicina y lo único que se me pasaba por la cabeza era la imagen de la silla de ruedas. Pero, afortunadamente, eso no ha ocurrido. Tengo épocas de brotes, pero luego me recupero y llevo una vida normal. La mayoría de los casos son como el mío, de tipo remitente-recidivante, y existe tratamiento», explica con optimismo.

La voz de Imanol Miguel suena muy distinta. A veces se para. Tiene 51 años y no es fácil describir lo que ha vivido: «Hace 16 años fui al médico porque tenía un dolor en el pecho. Me hicieron un escáner y me dijeron que era esclerosis múltiple. Se me cayó el mundo encima. En esta enfermedad hay muchas variantes y lo mismo no te afecta que te quedas en silla de ruedas, como es mi caso. Es muy duro. Se llama 'esclerosis primaria progresiva' y no hay nada para tratarla».

La de Leire y la de Imanol son solo dos de las mil caras que tiene la esclerosis múltiple. La definen así, 'la enfermedad de las mil caras', porque no hay dos pacientes iguales. Pero también se podría hablar de ella como 'la enfermedad de las mil dudas' porque todavía no hay respuestas sobre su origen. ¿Por qué está aumentado de forma tan rápida y por qué afecta cada vez más a las mujeres?

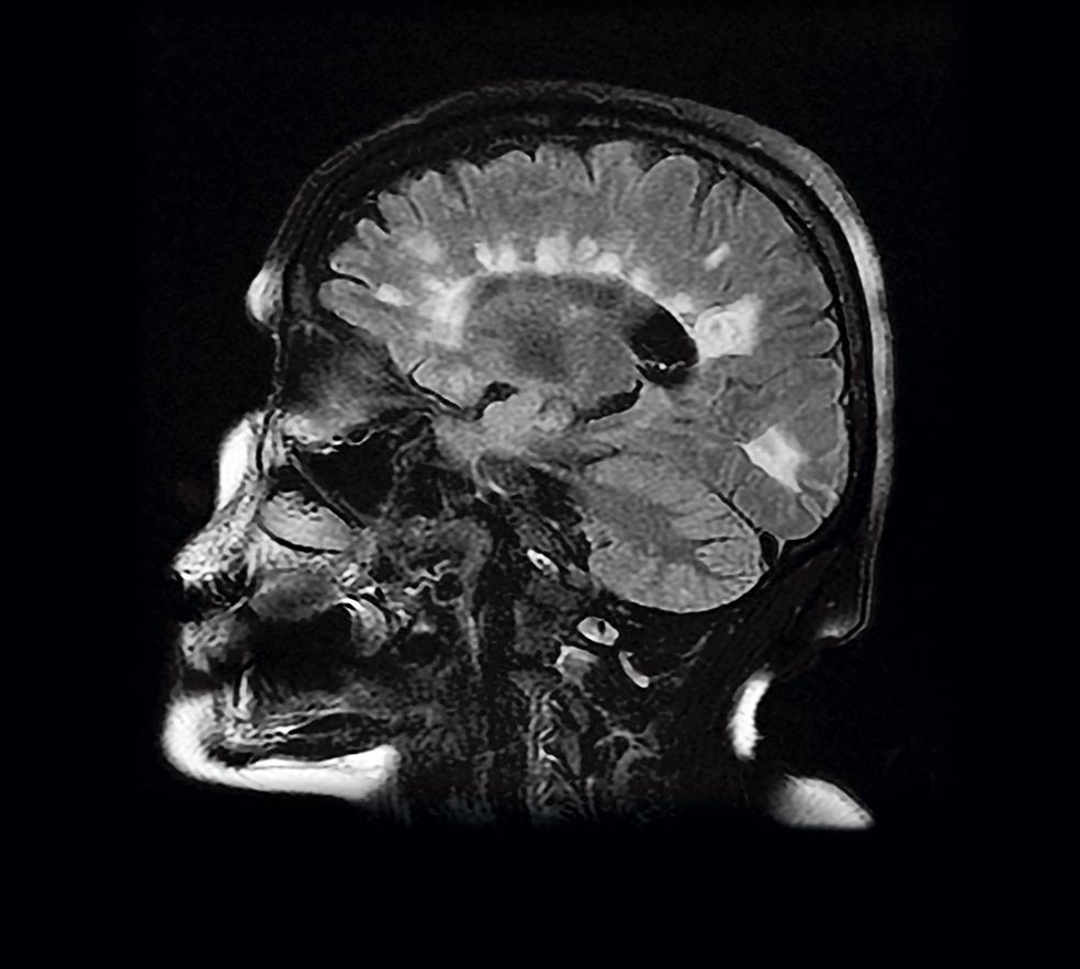
alternative text
Las placas. La resonancia magnética es una de las pruebas que se utilizan para observar si hay lesiones compatibles con la esclerosis múltiple. Se conocen como 'placas' y son las manchas blancas  que aparecen en la imagen.

Cuando le dieron el resultado de las pruebas a la madre de Pedro, corría el año 1984 y casi nadie sabía lo que era. «Mi madre tuvo que buscarlo en una enciclopedia médica y al lado venía la foto de la silla de ruedas. Ella fue una de las que empezaron a crear la asociación en Bilbao». Entonces, Pedro Carrascal era un niño. Ahora es el presidente de la Asociación Esclerosis Múltiple España (EME) y de la Plataforma Europea de EM: «Sigue siendo una patología muy desconocida, pero el acceso a los tratamientos ha hecho que el panorama haya cambiado en las últimas décadas». Una opinión compartida por el jefe de Neurología del Hospital Universitario de Cruces (Bizkaia), Alfredo Rodríguez-Antigüedad, uno de los mayores expertos en esclerosis del país: «Le hemos dado la vuelta a la enfermedad como un calcetín. Cuando yo empecé, en 1989, todo eran sillas de ruedas. Ahora, lo que tengo en la sala de espera son pacientes muy ocupados y con mucha prisa porque se tienen que ir a la reunión de turno [se ríe]. Es una alegría enorme. Tanta gente activa, con hijos, que trabaja y que hace vida normal. Eso sí, siempre hay excepciones, algunas muy dramáticas».

alternative text
Todo un referente. Alfredo Rodríguez- Antigüedad es jefe del Servicio de Neurología y coordinador de la Unidad Neuroinmunología- EM del Hospital Universitario Cruces (Bizkaia). Uno de los mayores expertos en el estudio y el tratamiento de la esclerosis múltiple.

Certezas, hipótesis y un sospechoso principal

Se calcula que en el mundo hay casi tres millones de personas que padecen esclerosis múltiple, cerca de 55.000 en España. Una de cada cuatro son mujeres y la mayoría de los casos se diagnostican entre los 20 y los 40 años. No es mortal ni hereditaria. No existe cura, pero cada vez son más los tratamientos que la mantienen a raya. «Es una enfermedad autoinmune inflamatoria de causa desconocida que afecta al sistema nervioso central», explica el neurólogo. Se produce cuando el sistema inmunitario ataca por error la mielina, una funda que protege las fibras nerviosas, interfiriendo en la comunicación entre el cerebro y otras partes del cuerpo. «El proceso se podría describir como el de unas gotas de agua que cayesen a lo largo del tiempo sobre ciertas zonas del cerebro y la médula espinal. A veces caen en puntos muy críticos y provocan síntomas. Es como si diésemos martillazos en una pared. Si el golpe acierta justo donde está el enchufe, nos quedamos sin luz, pero si damos en otra parte se produce solo una abolladura». Y esto es lo que desencadena que los síntomas sean tan variables: fatiga, pérdida de equilibrio, entumecimiento, visión doble o borrosa, lenguaje mal articulado...

«Cuando empecé en la consulta, en 1989, todo eran sillas de ruedas. Ahora, mis pacientes son gente activa, con hijos, que trabaja. eso sí, siempre hay excepciones»

Alfredo Rodríguez-AntigüedadNeurólogo y experto en esclerosis múltiple

En cuanto a su origen, Rodríguez-Antigüedad explica que «está aceptado que existe una predisposición genética y también influye algún factor ambiental, pero su causa sigue siendo un misterio». Hay muchas investigaciones abiertas, pero un estudio realizado por científicos de la Universidad de Harvard publicado hace un mes apunta a un sospechoso principal: el Epstein-Barr (VEB), el virus de la mononucleosis o 'enfermedad del beso'. «Hemos investigado durante años la hipótesis de que el VEB cause la esclerosis múltiple, pero este es el primer estudio que brinda evidencia convincente de causalidad», señala el investigador italiano Alberto Ascherio, autor principal del estudio. Pero que no cunda el pánico. Haber padecido el VEB no implica desarrollar la enfermedad: «El 95 por ciento de los españoles hemos estado en contacto con ese virus y solo una pequeña parte ha desarrollado esclerosis múltiple. Lo que sí sabemos es que prácticamente el cien por cien de los pacientes de esclerosis lo han tenido», aclara Rodríguez-Antigüedad. El beneficio de esta investigación es que abre vías para una hipotética prevención.

«En las últimas décadas hemos avanzado y la enfermedad está muy controlada, pero no podemos quedarnos aquí –apunta Pedro Carrascal–. Es una patología que provoca un impacto brutal en un momento clave, cuando eres joven. Y, al margen de cómo evolucione, te hipoteca de por vida. Convivir con eso para siempre genera mucho miedo e incertidumbre. ¿Cómo te enfrentas al empleo, al ocio, a la sexualidad...?». En este sentido, las asociaciones de pacientes también han evolucionado. «Cada vez hay más tecnología para la rehabilitación. La robótica y la biónica serán claves para mejorar la calidad de vida. Desde los exoesqueletos hasta gafas de realidad virtual que te permiten entrenar tareas de la vida cotidiana y reforzar la estimulación cognitiva», resume el presidente de EME. «Pero hay que continuar investigando. No podemos seguir sin saber, por ejemplo, por qué está aumentando tanto entre las mujeres», concluye.

Un reciente estudio de Harvard apunta al virus de la mononucleosis como factor desencadenante. Casi el cien por cien de los pacientes de esclerosis lo han tenido

Y esto ocurre no solo con la esclerosis, sino con todos los trastornos autoinmunes, aquellos en los que nuestro sistema se 'equivoca' y ataca las células saludables de nuestro organismo. «El 80 por ciento de las personas afectadas por estas enfermedades son mujeres», explica Xavier Montalban, jefe de Neurología del hospital Vall d'Hebron de Barcelona. La razón sigue sin estar clara. «Probablemente los factores que más contribuyen son los cromosomas, las hormonas y los factores ambientales». Las mujeres tienen cromosomas XX y los hombres, XY. Pues bien, «el cromosoma X tiene una mayor cantidad de genes relacionados con el sistema inmunológico». También se ha descubierto que las mujeres portan en la piel un interruptor molecular, llamado VGLL3, que, en exceso, estimula el sistema inmunitario y puede provocar un «autoataque». Es como si el organismo de las mujeres, en principio especialmente diseñado para proteger, acabara volviéndose contra ellas y convirtiéndose en agresor.

Una enfermedad, dos destinos

Leire Avellanal Zaballa . 33 años / Diagnosticada hace 14

«Para mí fue fundamental ver a mujeres diagnosticadas con una vida normal»

alternative text

«Me considero una privilegiada. Mi médico dice que tiene muy buenas expectativas conmigo y, aunque tengo épocas de brotes, no son muy dolorosos. De vez en cuando, me duele un rato una pierna o un dedo, pero me recupero y sigo mi vida normal».

«Eso sí, cuando me lo dijeron, fue demoledor. Tenía 19 años. Lo primero que noté fue pérdida de fuerza en las piernas y hormigueo. A veces también perdía el equilibrio y tuve varios episodios de infecciones de orina. Pero, claro, ¿qué relación podía tener una cosa con la otra? Al principio, mi médico no le dio importancia, pero terminó derivándome al neurólogo y allí me dieron el mazazo. Hace ahora 14 años».

«Los aspectos psicosociales de la esclerosis múltiple son los grandes olvidados. Te preocupas mucho del deterioro físico, pero ¿qué pasa con la situación emocional? Para mí fue fundamental conocer a otras mujeres que llevaban años diagnosticadas y que tenían una vida normal con pareja, con hijos. Ahora se sabe que ser madre no empeora el pronóstico, pero hace unos años se pensaba justo lo contrario».

«La variante que yo tengo, la remitente-recidivante, es la más común y casi todos los pacientes están como yo, es decir, que la tenemos controlada con el tratamiento. Aunque no existe una cura, te tienes que acomodar a la enfermedad y ella a ti, pero hay esperanza y tenemos que confiar en la ciencia»

Imanol Miguel. 51 años / Diagnosticado hace 16

«Es como si cada día te fueran quitando un poquito de vida»

alternative text

«A mí la enfermedad me va comiendo. Mi cara de la esclerosis es la más desagradable. Primero empecé arrastrando un pie. Otro día noté que el lado izquierdo estaba cada vez más insensible. Perdí la mano derecha y ya no la puedo abrir mucho. Las piernas ya no me funcionan y ahora empieza a fallarme también la mano izquierda. Es como si cada día te fueran quitando un poquito de vida, y eso para la cabeza es... ¡buah!... durísimo».

«Cuando me diagnosticaron la esclerosis múltiple, llevaba dos años casado. ¿Cómo le cuentas algo así a la mujer? ¿Y a mis padres? Tardé dos años en decírselo. Pensaba: 'A ver si no se nota y no se enteran nunca', pero no me quedó más remedio. Eso fue hace 16 años y ahora tengo una hija de 11 y tiras para adelante porque está ella. Y mi mujer, claro, que es la que me levanta, me viste, me sienta. Es todo».

«Ahora mismo no hay absolutamente nada para controlar mi enfermedad. Estoy en un tratamiento experimental en Basurto».

«Mi mayor ilusión era subir al Machu Picchu y lo hice. Con muletas y arrastrando un pie. Contraté a un señor que me ayudaba cuando la pierna no me respondía».

MÁS DE XLSEMANAL